Skip to content
Smiles Zone Dental Clinic
Home
About Us
Our Services
Invisalign with iTero Scanner
Orthodontics Treatment
Aligners
Pediatric Dental Treatment
Aesthetic Dentistry
Endodontic Treatment
Dental Implants
Prosthodontic Treatment
Periodontal Treatment
Dental Surgery
Happy Patients
Success Stories
Reviews
Videos
Contact Us
Success Stories
Relax… Your Dentist Knows Best
All
Orthodontics Treatment
Pediatric Dental Treatment
Periodontal Treatment
Endodontic Treatment
Prosthodontic Treatment
Dental Surgery
Aesthetic Dentistry
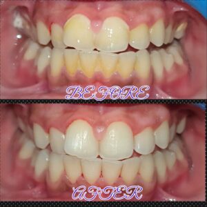
Cleaning & polishing
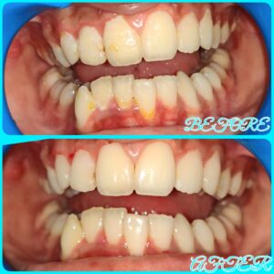
Cleaning & polishing
Cleaning & polishing
Cleaning & polishing
Smile Designing
Smile Designing
Load More